門診預約 / 口腔諮詢專線 :
02-2597-2636
高端植牙專區
水雷射植牙
前牙美學植牙
全口重建
高齡植牙
微創植牙
即拔即種
舒眠植牙
鼻竇增高術
窩洞保存術
骨脊增厚術
牙肉重建術
多合一植牙
植牙併發症處理
×
Wechat
×
×
回首頁
網站導覽
患者歡樂回饋
獲獎與植牙證書
見證分享
治療專區
高端植牙特區
水雷射植牙
前牙美學植牙
全口重建
高齡植牙
微創植牙
即拔即種
鼻竇增高術
窩洞保存術
骨脊增厚術
牙肉重建術
多合一植牙
植牙併發症處理
人工植牙
全瓷冠/貼片/3D齒雕
全瓷牙冠
全瓷貼片
3D齒雕
雷射滅菌牙周治療
雷射滅菌顯微根管治療
牙齦整形
牙齦美白
牙齒美白
微笑貝齒
牙齒矯正
矯正治療
隱形矯正
正顎手術
智齒/阻生齒拔除
醫療團隊
林子揚 院長
林建良 副院長
盧威佐 贋復假牙專科醫師
許至瑜 贋復假牙專科醫師
林怡君 矯正專科醫師
董冠綾 矯正專科醫師
張智鈞 根管治療專科醫師
王有宇 口腔外科專科醫師
林少華 牙周病專科醫師
郭陵諺 牙周病、一般牙科專任醫師
林宥彤 牙周病、一般牙科專任醫師
紓壓環境高級設備
診所歷史與創辦理念
療癒紓壓的空間
細膩高價的設備與材料
諮詢與預約
療癒紓壓的空間環境
交通與門診
- 高端植牙特區 -
水雷射植牙
前牙美學植牙
全口重建
高齡植牙
微創植牙
即拔即種
舒眠植牙
鼻竇增高術
窩洞保存術
骨脊增厚術
牙肉重建術
多合一植牙
植牙併發症處理
健康的牙齒可以即刻擁有,選擇聖偉牙醫所提供的專業服務項目,為您的口腔問題提供最適宜的解決方案。
聖偉牙醫 在地深耕多年,不斷精進專業技術以及高水準設備,以提供患者最好的醫療服務。
聖偉牙醫 形像影片
×
陳漢典祝賀開幕
×
高齡植牙-李成 看診心得分享
×
牙齒電漿美白
×
植牙找聖偉牙醫診所就對了!
×
牙齦手術+電漿美白-家誠案例分享
×
莊先生的心得分享
×
首頁
治療專區
微笑貝齒
微笑貝齒的介紹
微笑貝齒的適應症與禁忌症
患者美麗的成果
微笑貝齒Q&A
補骨再生的案例
案例1
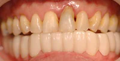
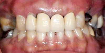
治療前
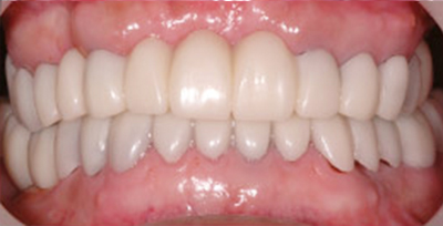
治療後
案例2
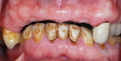
治療前
治療後
案例3
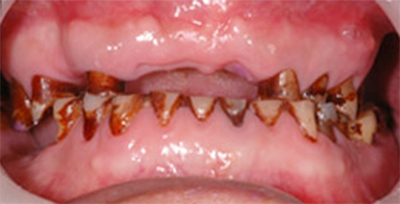
治療前
治療後
案例4
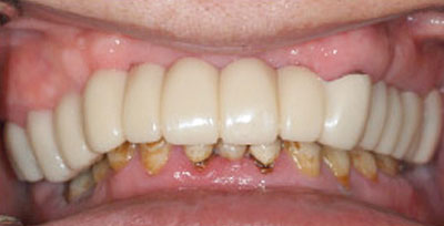
治療前
治療後
案例5
治療前
治療後
案例6
治療前
治療後
案例7
治療前
治療後
案例8
治療前
治療後