門診預約 / 口腔諮詢專線 :
全口重建最初步就是做詳細的口腔檢查,在精密儀器輔助下為患者做出精確的診斷。之後幫患者擬出多套的治療計劃,提供患者參考,再從中選出最適合患者的治療計劃,專為患者良身打造。
全口重建是個龐大的跨科治療療程,前置作業通常包括洗牙,或是拔除無法救治的牙齒,還有根管治療、補牙、牙周病治療等,另還有其它口腔整理工作。
而一部份患者仍需配合局部或是全口的矯正重整,再使用傳統的活動假牙、固定假牙或目前最盛行的全口植牙來搭配全口的重建療程。
洗牙

拔除無法救治的牙齒

根管治療

補牙

牙周病治療

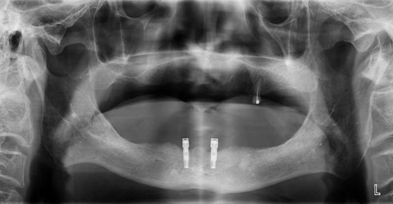
案例1
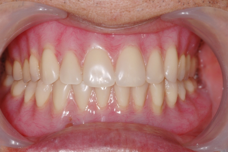
案例2