門診預約 / 口腔諮詢專線 :

02-2597-2636

Wechat
聖偉牙醫診所 臉書專頁
聖偉牙醫診所 Instagram
聖偉牙醫診所 Youtube
回首頁 網站導覽
  • 聖偉牙醫 形像影片
  • 陳漢典祝賀開幕
  • 高齡植牙-李成 看診心得分享
  • 牙齒電漿美白
  • 先生緣、主人福–年終要感謝讓我不會「沒齒難忘」的林子揚醫師
  • 植牙找聖偉牙醫診所就對了!
  • 牙齦手術+電漿美白-家誠案例分享
  • 莊先生的心得分享
  • 健康的牙齒可以即刻擁有,選擇聖偉牙醫所提供的專業服務項目,為您的口腔問題提供最適宜的解決方案。
  • 聖偉牙醫 在地深耕多年,不斷精進專業技術以及高水準設備,以提供患者最好的醫療服務。
何謂前牙美觀區

前牙區是指上顎,下顎的門牙及犬齒,牙齒主要功能在於美觀以及發音。

前牙美觀區:中門齒至第一小臼齒
前牙美學

一個治療的完美與否取決於事前的溝通、診斷評估與治療計畫,再經由專業的治療、高科技的假牙製作才會有令人滿意的成果。

前牙區的缺牙是植牙手術中困難度最高的區域,除了追求手術的成功之外,還需要兼顧到贗復後的美學考量,因為前牙區缺牙往往伴隨著大量的齒槽骨流失,需要施行骨再生手術。

如果不是由經驗豐富的植牙專科醫師及贋復醫師聯合來治療的話,往往在美觀上有所妥協,無法達到如真牙般的完美自然。

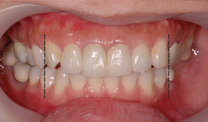
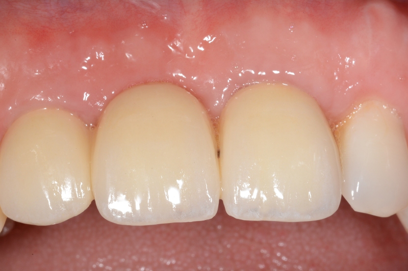
前牙美學案例

案例1

前牙美學術前
前牙美學術後