門診預約 / 口腔諮詢專線 :
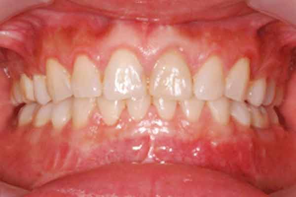
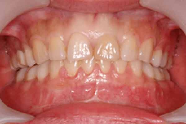
傳統電刀或手術方式處理牙齦修型,手術時間長、出血量多,利用雷射做牙齦修型,修出標準美麗的牙齦弧度,使牙齒呈現黃金比例。雷射牙齦修型手術方式,疼痛度大幅降低、傷口小、出血少、降低腫脹,恢復期短,術後可正常進食,治療過程快速舒適。 牙齦肉過多、門牙太短,或微笑時露出牙齦不美觀,讓你(妳)不敢自然大笑,都可選擇雷射牙齦修型來改善,雷射牙齦修型是安全性高的輕度外科手術,大多數民眾都適合。