門診預約 / 口腔諮詢專線 :

02-2597-2636

Wechat
聖偉牙醫診所 臉書專頁
聖偉牙醫診所 Instagram
聖偉牙醫診所 Youtube
回首頁 網站導覽
  • 聖偉牙醫 形像影片
  • 陳漢典祝賀開幕
  • 高齡植牙-李成 看診心得分享
  • 牙齒電漿美白
  • 先生緣、主人福–年終要感謝讓我不會「沒齒難忘」的林子揚醫師
  • 植牙找聖偉牙醫診所就對了!
  • 牙齦手術+電漿美白-家誠案例分享
  • 莊先生的心得分享
  • 健康的牙齒可以即刻擁有,選擇聖偉牙醫所提供的專業服務項目,為您的口腔問題提供最適宜的解決方案。
  • 聖偉牙醫 在地深耕多年,不斷精進專業技術以及高水準設備,以提供患者最好的醫療服務。
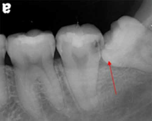
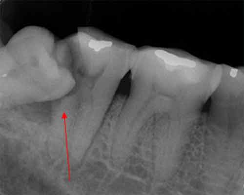
智齒的介紹與影響

智齒大約在17~21歲左右就會開始生長,有時候智齒沒辦法順利的從牙齦冒出來,這常是因為空間不夠讓它長出來,或是它長錯方向了,而這些長不出來的智齒,我們稱它為阻生智齒及水平智齒。

智齒位於口腔的最後側,清潔不易的情況下,可能會造成下列的問題:

  • 智齒周圍細菌感染
  • 傷害到鄰近的牙齒
  • 智齒上有無法填補的蛀牙
  • 智齒造成顎骨中的囊腫
  • 智齒推擠前面的牙齒,造成齒列不正,或妨礙了齒列矯正治療
智齒的介紹與影響

拔阻生智齒最好找口腔外科專科醫師,他們比較有經驗,拔智齒是他們的專長唷!

細菌感染
推擠前牙
顎骨囊腫
傷害臨牙
拔牙後的膠原蛋白再生

拔牙後的窩洞,建議填入膠原蛋白,防止齒槽骨嚴重吸收與凹陷,促進肉芽組織形成引導骨質增生及傷口疼痛、有止血的效果。

拔牙後立即填入示範圖

膠原蛋白的優點:

  • 制止流血及穩定傷口
  • 保護傷口部位
  • 促進傷口癒合
  • 10~14天被身體全部吸收
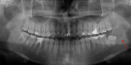
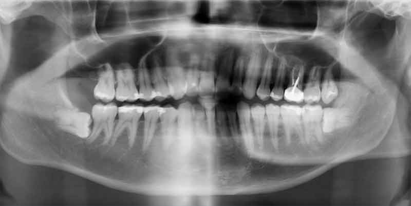
智齒案例

完全沒有長出的智齒有可能引起囊腫,雖然是良性的,但會因為物理傷害鑿空骨頭,引起下巴骨折;或因壓迫神經造成神經麻痺,需治醫院開刀。

智齒造成蛀牙
智齒造成囊腫
2008年4月拍攝
2011年6月拍攝
水平智齒/阻生齒