門診預約 / 口腔諮詢專線 :

02-2597-2636

Wechat
聖偉牙醫診所 臉書專頁
聖偉牙醫診所 Instagram
聖偉牙醫診所 Youtube
回首頁 網站導覽
  • 聖偉牙醫 形像影片
  • 陳漢典祝賀開幕
  • 高齡植牙-李成 看診心得分享
  • 牙齒電漿美白
  • 先生緣、主人福–年終要感謝讓我不會「沒齒難忘」的林子揚醫師
  • 植牙找聖偉牙醫診所就對了!
  • 牙齦手術+電漿美白-家誠案例分享
  • 莊先生的心得分享
  • 健康的牙齒可以即刻擁有,選擇聖偉牙醫所提供的專業服務項目,為您的口腔問題提供最適宜的解決方案。
  • 聖偉牙醫 在地深耕多年,不斷精進專業技術以及高水準設備,以提供患者最好的醫療服務。
全瓷牙冠

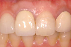
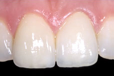
全瓷牙冠的瓷塊材料是瓷粉真空壓縮燒結製做出來並經由十四天的慢速降溫,然後再裁切成適當的尺寸,所以結構十分細緻完整, 而且透光性最佳,牙齒看起來非常自然。

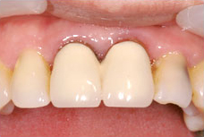
自然牙是具有稍透光性,傳統假牙內曾皆為金屬材質,外層在予以燒瓷,故色澤較暗沉無透光性,當牙齦萎縮時會導致金屬外露,或牙齦邊緣會產生黑色明顯的弧線,嚴重影響美觀。

全瓷冠是利用高純度的二氧化鋯或是一些結晶比例很高的瓷來取代傳統瓷牙冠的金屬內冠。其優點為全瓷冠完全沒有金屬,所以可以讓較多的光線穿透,不會有「死白」的感覺,在齒頸部的牙齦也不會有陰影存在。

全瓷冠的特色與優點

任何種類的全瓷冠,都比含金屬牙冠自然美觀!

毫無金屬氧化、過敏、造成牙齒牙肉染色的問題。

電腦3D數位雕刻瓷塊做成內冠,沒有金屬鑄造過程熱漲冷縮,造成密合度誤差的問題。

全瓷冠與傳統假牙的比較
全瓷冠
傳統金屬內冠
內觀
內冠為強化陶瓷
內冠含金屬成份
透光性
透光性與自然牙相仿
有陰影、不具透光性
密合度
邊緣逼真
金屬邊緣外露
牙齦狀況
長期使用牙齦不變黑,呈現自然色澤。
金屬成分的瓷冠長期在潮濕的口腔中,牙齦容易變黑,影響美觀。