門診預約 / 口腔諮詢專線 :




拔牙洞保存術,是在拔牙之後,於拔牙洞內填補再生骨粉,保持齒槽嵴寬度與高度的術式。術後,齒槽骨可大量保留,並保持其高度,增加軟組織。沒有實行拔牙窩洞保存術,骨質會迅速流失,流失的骨質將難以恢復到原來的形狀。
在植牙及製做假牙時,需要良好的齒槽骨支持,才可延長植牙的成功率及使用的壽命。因此能在拔牙時填補骨粉,會是保存骨質最好、最重要的時機。







骨脊增厚術,利用骨粉、再生膜等生物科技材料,放入骨脊內,促進缺損處的骨頭再生的術式。先把骨粉放到欲填補的缺損處,然後使用再生膜隔絕表皮軟組織細胞的生長,讓骨粉有時間可以轉化成新生骨。等待約6個月讓骨頭生長,就可以重建喪失的齒槽骨寬度了!
植牙補骨的目的,在於能夠讓植牙擁有厚實的牙床、健康穩固的地基,才能幫助人工植牙使用的更長久,承受更大的咀嚼力量。




植牙價格通常總括三個部分,一個是手術的植牙價格,一個是要植入的植體費用,植牙價格再來就是醫師經驗和植牙技術的等級。
另外如果骨頭條件比較不好或骨質疏鬆造成手術困難度增加,需要補骨粉或是增加其他手術。
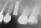
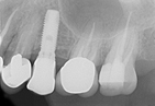
植牙主要是以鈦合金製成的人工植體,來取代原本的牙根,必須透過專業醫師的技術及經驗,精準的將植體植入無牙區域的骨頭內。
一般前牙的植牙價格相對而言會比後牙的植牙價格來得高,因為前牙有美觀上的考量,常常需要用到一
些美學上比較講究的套件,而且前牙最常需要一些補骨或軟組織處理手術的部位,所以一般來說植前排
牙的價格會比植後排牙的植牙價格要來的高。
植牙後務必要注意口腔保健,尤其一發現疑似牙周病的徵兆,如刷牙出血、牙齦浮腫、口臭等現象,最
好馬上就醫治療,以免影響植體功能。