門診預約 / 口腔諮詢專線 :
高齡植牙並沒有想像中的困難和危險,關鍵在於植牙風險的合理控管,只要控制得當,高齡植牙沒有硬性規定年齡的上限,臨床上甚至有不少90歲以上老人植牙成功的案例,說明了,只要技術條件允許、患者的口腔條件吻合,高齡植牙自然安全可行。

高齡植牙的隱憂,通常源自老年人易患的4大疾病,包含了糖尿病、高血壓、心血管疾病、骨質疏鬆等,這些疾病的風險管理,決定了高齡植牙的可行性,例如血糖控制不佳,會造成傷口不易癒合;血壓失控,會造成凝血不易等,這些植牙安全的安全界線,就必須仰賴植牙醫師的技術和診斷!因此,高齡植牙必須有具有豐富經驗的植牙專科醫師來執行。
高齡植牙所提供的咬合能力,是傳統假牙無法超越的,然而,不少年長者因為節儉,大多選擇配戴活動假牙,但在咀嚼功能、清潔保養方面,傳統的活動假牙不但會造成牙肉持續萎縮,更有可能不慎吞入。
高齡植牙在現今的植牙科技而言,已經趨於成熟,值得推廣,臨床上,高齡植牙需要的不只是技術,更重要的老人家的心理建設,必須透過耐心的講解、親切的關懷、並且營造舒服的診療氣氛,才能讓年長者感到放心,帶給高齡植牙患者媲美真牙的咀嚼能力。讓老年的爺爺、奶奶們笑口常開,輕鬆享受美食。
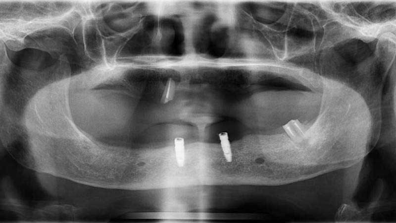
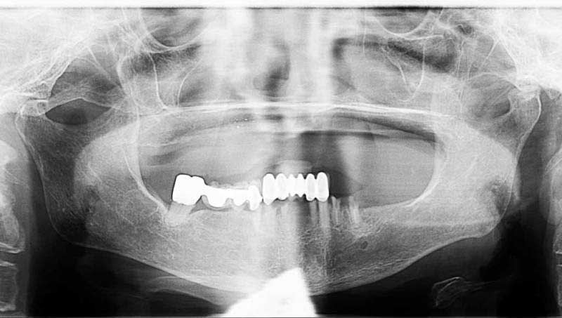
案例1
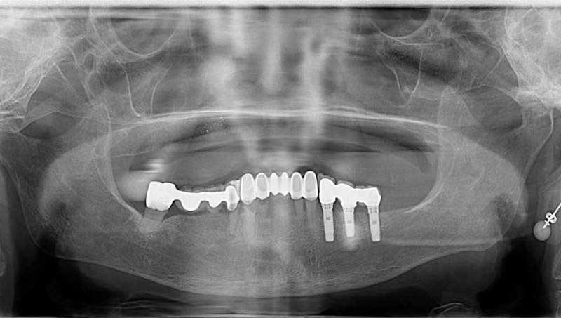
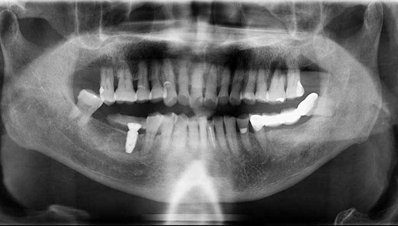
案例2
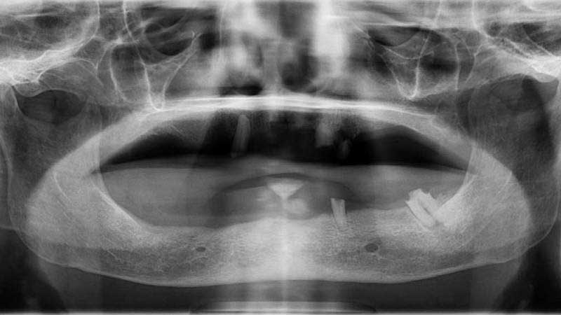
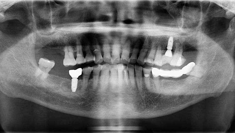
案例3
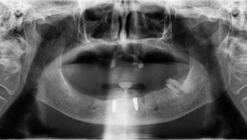
案例4