門診預約 / 口腔諮詢專線 :

02-2597-2636

Wechat
聖偉牙醫診所 臉書專頁
聖偉牙醫診所 Instagram
聖偉牙醫診所 Youtube
回首頁 網站導覽
  • 聖偉牙醫 形像影片
  • 陳漢典祝賀開幕
  • 高齡植牙-李成 看診心得分享
  • 牙齒電漿美白
  • 先生緣、主人福–年終要感謝讓我不會「沒齒難忘」的林子揚醫師
  • 植牙找聖偉牙醫診所就對了!
  • 牙齦手術+電漿美白-家誠案例分享
  • 莊先生的心得分享
  • 健康的牙齒可以即刻擁有,選擇聖偉牙醫所提供的專業服務項目,為您的口腔問題提供最適宜的解決方案。
  • 聖偉牙醫 在地深耕多年,不斷精進專業技術以及高水準設備,以提供患者最好的醫療服務。
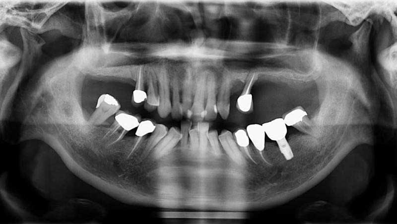
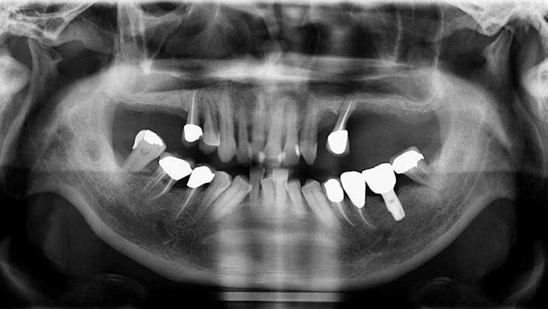
鼻竇增高術

植牙是將人工牙根植入骨頭內,因此病患需要有足夠的骨質及骨量,植牙才會穩固,上顎竇是一個空腔,位置在上顎後牙區之上,缺牙後常常會因為上顎竇漸漸擴張擠壓及牙床的骨頭吸收,使得骨頭高度不夠,而無法植牙。

「鼻竇增高術」是針對上顎後牙區骨頭不足的區域以手術的方式將上顎竇底部薄膜往上推,將骨頭墊在上顎竇膜之下以增加骨頭高度,使能植牙。

鼻竇增高術
鼻竇增高術案例
鼻竇增高術術前
鼻竇增高術術後
鼻竇增高術術後康復