門診預約 / 口腔諮詢專線 :

02-2597-2636

Wechat
聖偉牙醫診所 臉書專頁
聖偉牙醫診所 Instagram
聖偉牙醫診所 Youtube
回首頁 網站導覽
  • 聖偉牙醫 形像影片
  • 陳漢典祝賀開幕
  • 高齡植牙-李成 看診心得分享
  • 牙齒電漿美白
  • 先生緣、主人福–年終要感謝讓我不會「沒齒難忘」的林子揚醫師
  • 植牙找聖偉牙醫診所就對了!
  • 牙齦手術+電漿美白-家誠案例分享
  • 莊先生的心得分享
  • 健康的牙齒可以即刻擁有,選擇聖偉牙醫所提供的專業服務項目,為您的口腔問題提供最適宜的解決方案。
  • 聖偉牙醫 在地深耕多年,不斷精進專業技術以及高水準設備,以提供患者最好的醫療服務。
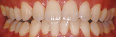
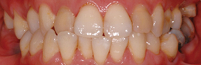
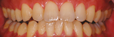
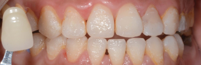
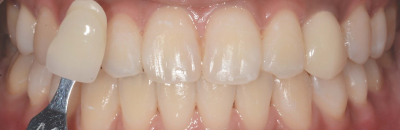
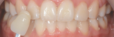
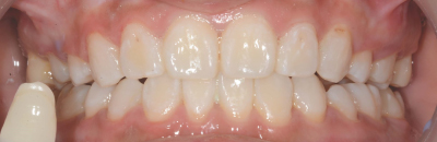
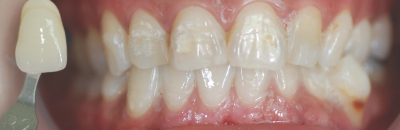
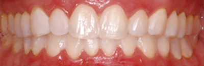
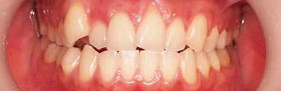
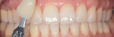
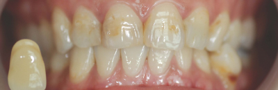
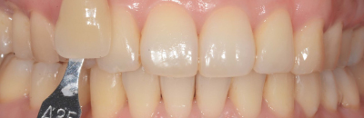
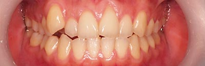
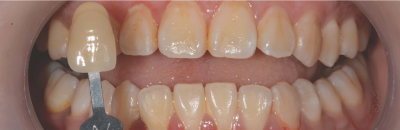
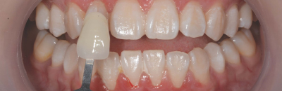
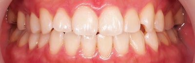
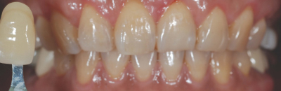
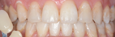
患者美麗的成果

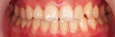
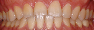
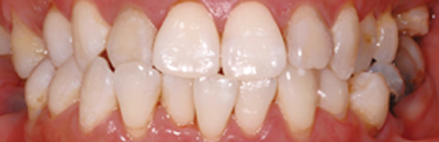
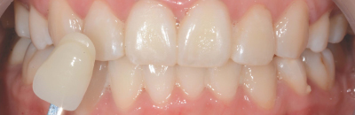
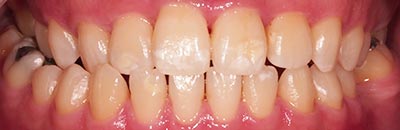
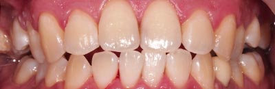
案例1

美白前
美白後

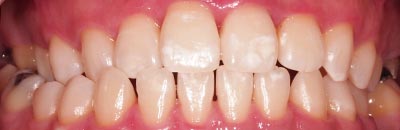
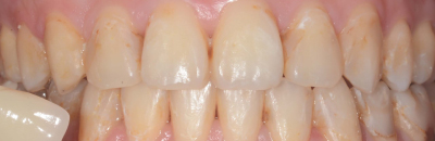
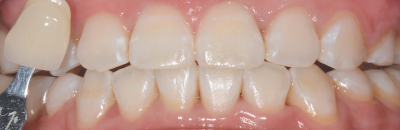
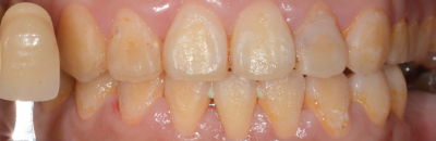
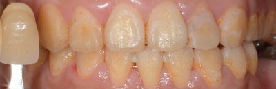
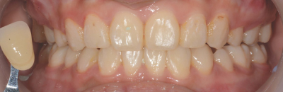
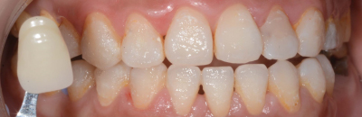
案例2

美白前
美白後

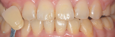
案例3

美白前
美白後

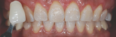
案例4

美白前
美白後

案例5

美白前
美白後

案例6

美白前
美白後

案例7

美白前
美白後

案例8

美白前
美白後

案例9

美白前
美白後

案例10

美白前
美白後

案例11

美白前
美白後

案例12

美白前
美白後

案例13

美白前
美白後

案例14

美白前
美白後

案例15

美白前
美白後

案例16

美白前
美白後

案例17

美白前
美白後

案例18

美白前
美白後

案例19

美白前
美白後

案例20

美白前
美白後