門診預約 / 口腔諮詢專線 :
未經牙周病治療的牙齒,幾年後....
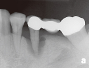
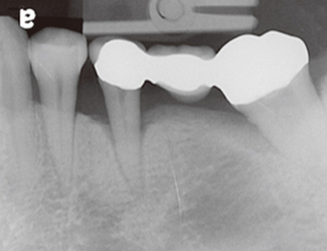
本院實例:
口內
相較常人,對身體的影響
不接受治療的結果
牙周病是發生在牙齦、齒槽骨、牙周韌帶的一種慢性的、持續性的細菌感染疾病。牙齦即是俗稱的牙肉,齒槽骨則是包圍在牙齒周圍,支持牙齒的骨質, 而牙周韌帶則是界在牙齒與齒槽骨之間一層薄薄的結締組織,具有緩衝咬合力的功能。
牙周病會造成牙齦發炎流血,齒槽骨牙周韌帶的破壞,最終導致牙齒的脫落。成人的牙齒脫落原因中有75%是因為牙周病造成的。
